審美歯科とは
見た目の美しさと機能美を両立した「健康審美」を目指します
ゴールデンプロポーション=黄金比
人が美しいと感じる視覚的なプロポーションには、一定の法則があり、その比率を「黄金比」といいます。黄金比は笑顔にもあてはまります。
前方から見た時に中切歯:側切歯:犬歯の見える比率が1.618 : 1.0 : 0.618と、グラデーションを描くように少なくなるように見えるのが、最も美しいとされています。
笑顔で、最も強い印象を与えるのは、目や眉よりも圧倒的に口もとからの印象だと言われています。顔全体の印象の7割は、口もとが決めているそうです。
お口の悩みでコンプレックスを抱えている人は少なくありません。笑う時、必ず手を口にあててしまう、表情が曇り、常にうつむきぎみになって自信のない表情、姿勢になってしまうなど、本来の魅力が半減してしまいます。美しい歯並び、美しい口元を得ることで、美しい笑顔を作り、明るく精神的にも健康になります。
歯列を整え、かみ合わせを整えることで、良く噛めるようになり、身体的にも健康になります。見た目に美しくすることは機能面での回復にもつながります。
見た目の美しさ『形態・色彩美』プラス 機能的によく噛める『機能美』両面からの健康的な美しさが審美歯科の重要なポイントであり目的だと考えます。
治療方法
元の歯を生かす矯正治療、セラミックをかぶせる歯冠修復があります
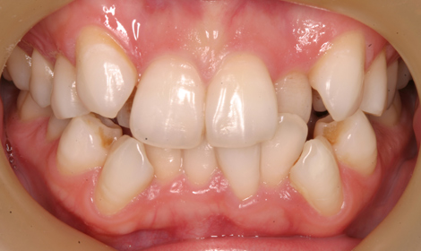
一口に歯列不整と言っても様々です。
八重歯、開咬、上顎前突(出っ歯)、反対咬合(受け口)、歯が生え揃わずに凸凹になる、また重なってしまうなど、口腔内の状態は1人ずつ異なります。
歯並びを治すと言うと、まず矯正治療が考えられると思います。矯正治療は、歯を削ることなく、元の歯の色や形のまま、歯列を整えていく方法です。歯列不整の度合いにより矯正装置を付けている期間は違いますが、一般的には治療に数年かかり、抜歯が必要な場合もあります。
最初は矯正装置に違和感があったり、口唇や歯が動くときに痛みがあったりします。
次に、セラミックをかぶせて治す方法(歯冠修復)があります。短期間での治療が可能で、治療回数は最短2回で画期的に変化します。歯冠を削りますが、痛みを伴うことはほとんどありません。歯の神経の治療が必要な場合など、ケースにより治療回数は異なります。歯冠を削り、希望の色や理想的な形態のセラミックをかぶせることにより、歯列を整えていきます。
セラミックの紹介
天然歯と変わらない自然な美しさが魅力です
オールセラミッククラウン(メタルフリー)
プロセラ,ジルコニア
材料の開発や技術革新によりセラミックは著しく進歩し、金属を使わずに、材質を全てセラミックで作ることが可能になりました。
オールセラミックは天然歯と変わらない色調や透明感があり、光の透過性にも優れ、自然な美しさで高い審美性を得ることが可能です。金属を使用しないため、金属アレルギーの心配もなく、生体親和性に優れています。非常に硬い反面、衝撃には脆い性質も持っています。
メタルボンドセラミッククラウン(メタル使用)
メタルボンドセラミック
貴金属にセラミックを焼き付けて作製します。メタルボンドの歴史は長く、単独歯、連結歯、ブリッジなど様々なケースに適応が可能です。
以前は歯茎部から半分くらい(裏側)はメタルが見えていましたが、近年では、メタルを表面に出さずに仕上げることができるので、審美的にも美しく、強度的にも優れています。
プラークが付きにくいメリットも(セラミック装着例)
セラミックを装着して6ヵ月後、同じように歯磨きをしていましたが、天然歯にはプラークが付着して着色が目立ちます。セラミックは表面がツルツルして滑らかなので、プラークの付着や着色もしにくいため、天然歯と比較しても違いは明らかです。また、歯肉の状態も周囲と比較すると健康な状態を保っています。
治療例1
オールセラミックで理想的な歯の形、色、ラインを実現しました
2回の来院で画期的に変わる
Case1
上顎前歯部4本をオールセラミックで治しました。
| 年齢・性別 | 40代 女性 |
|---|---|
| 来院回数 | 2回 |
Case2
上顎前歯部4本をオールセラミックで治しました。
| 年齢・性別 | 50代 女性 |
|---|---|
| 来院回数 | 2回 |
Case3
上顎前歯部4本をオールセラミックで治しました。
| 年齢・性別 | 20代 女性 |
|---|---|
| 来院回数 | 2回 |
Case4
上顎前歯部6本をオールセラミックで治しました。
| 年齢・性別 | 20代 女性 |
|---|---|
| 来院回数 | 2回 |
Case5
上顎前歯部6本をオールセラミックで治しました。
| 年齢・性別 | 50代 男性 |
|---|---|
| 来院回数 | 2回 |
Case6
上顎前歯部8本をオールセラミックで治しました。
| 年齢・性別 | 20代 女性 |
|---|---|
| 来院回数 | 2回 |
Case7
上顎前歯部7本をオールセラミックで治しました。
| 年齢・性別 | 50代 女性 |
|---|---|
| 来院回数 | 2回 |
Case8
上顎前歯6本をオールセラミックで治しました。
| 年齢・性別 | 30代 女性 |
|---|---|
| 来院回数 | 2回 |
上顎前歯の変色とかみ合わせを気にされていました。
オールセラミックで治して、かみ合わせと歯列を整えました。
Case9
上顎前歯部6本をオールセラミックで治しました。
| 年齢・性別 | 20代 女性 |
|---|---|
| 来院回数 | 2回 |
Case10
上顎前歯部4本をオールセラミックで治しました。
| 年齢・性別 | 20代 女性 |
|---|---|
| 来院回数 | 2回 |
治療例2
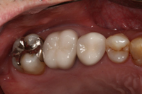
臼歯部(奥歯)の金属をセラミックで治し、口を大きく開けても大丈夫に
大きく口をあけても白い歯はキレイ!
Case1
金属のまわりから虫歯になり、隙間ができていた奥歯をセラミックで治しました。
| 年齢・性別 | 30代 女性 |
|---|---|
| 来院回数 | 4回 |
Case2
古くなって磨耗していた金属をセラミックで治しました。
| 年齢・性別 | 40代 女性 |
|---|---|
| 来院回数 | 4回 |
Case3
古くなった金属冠と金属のまわりから虫歯になっていた奥歯をセラミックで治しました。
| 年齢・性別 | 50代 男性 |
|---|---|
| 来院回数 | 2回 |
Case4
気にされていた金属冠をセラミックで治しました。
| 年齢・性別 | 40代 男性 |
|---|---|
| 来院回数 | 2回 |
Case5
気にされていた金属冠をセラミックで治しました。
| 年齢・性別 | 40代 男性 |
|---|---|
| 来院回数 | 2回 |
Case6
金属がはずれ虫歯になっていた奥歯をセラミックで治しました。
| 年齢・性別 | 30代 女性 |
|---|---|
| 来院回数 | 2回 |
Case7
気にされていた金属冠をセラミックで治しました。
| 年齢・性別 | 40代 男性 |
|---|---|
| 来院回数 | 2回 |
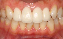
横から見てもきれいな歯に
横から見た口元も美しく変わる!
上顎前歯をセラミックで治して歯列を整えました。
前歯をセラミックで治して理想的な歯列に整えると、横から見た口元の表情も大きく変わり、唇の形が美しくなります。
治療例3
全体的にセラミックを施すことで、口元の印象はがらりと変わります
全体的な治療で劇的に変わる
Case1
反対咬合のため下顎、下唇が強調されていましたが、オールセラミックによりご希望の白い歯と理想的な歯列になりました。正常なかみ合わせになり、口元が変わりました。
| 年齢・性別 | 40代 男性 |
|---|
Case2
メラニン除去、歯肉移植を行い、上前歯の古いかぶせ物と全体に目立っていた金属冠をオールセラミックで治しました。3ヵ月程度で治療が完了しました。健康的な口元に生まれ変わりました。
| 年齢・性別 | 20代 男性 |
|---|
矯正&セラミック
矯正とセラミックを合わせた治療で歯の美しさと機能が向上します
時間をかけて矯正治療。少しずつ変わる
下顎矯正
下顎矯正(矯正装置装着期間10ヵ月)、上顎4本はオールセラミッククラウン。
正面
口元
口腔内
治療経過
上顎前歯4本はオールセラミックで治して歯列を整えました。
上顎矯正
矯正装置装着期間1年間 ¥400,000(税込み)
上下顎矯正
矯正装置装着期間2年間 ¥700,000(税込み)
下顎矯正
矯正装置装着期間6ヵ月 ¥350,000(税込み)
部分矯正
1歯、矯正装置装着期間3ヵ月 ¥150,000(税込み)
転位した歯を生かした矯正
金属冠を被せた歯①は、歯根が破折していたため抜歯をして、内側に転位していた健康な歯②を矯正して、歯列を整えました。







