治療例1
オールセラミックで理想的な歯の形、色、ラインを実現しました
Case1
上下顎全体的にオールセラミックで治しました。
| 年齢・性別 | 30代 女性 |
|---|---|
| 治療回数 | 4回 |
Case2
上顎前歯部2本をオールセラミックで治しました。
| 年齢・性別 | 30代 女性 |
|---|---|
| 治療回数 | 2回 |
Case3
上顎前歯部4本をオールセラミックで治しました。
| 年齢・性別 | 20代 女性 |
|---|---|
| 治療回数 | 2回 |
Case4
上顎前歯部4本をオールセラミックで治しました。
| 年齢・性別 | 20代 女性 |
|---|---|
| 治療回数 | 2回 |
Case5
上顎前歯部4本をオールセラミックで治しました。
| 年齢・性別 | 40代 女性 |
|---|---|
| 治療回数 | 2回 |
Case6
上顎前歯部4本をオールセラミックで治しました。
| 年齢・性別 | 30代 女性 |
|---|---|
| 治療回数 | 2回 |
Case7
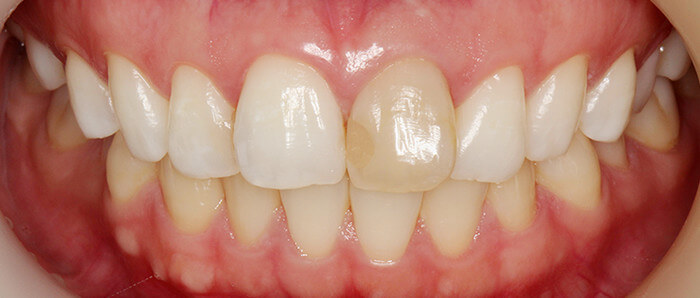
上顎前歯部1本をオールセラミックで治しました。
| 年齢・性別 | 50代 女性 |
|---|---|
| 治療回数 | 2回 |
Case8
上顎前歯部6本をオールセラミックで治しました。
| 年齢・性別 | 30代 女性 |
|---|---|
| 治療回数 | 2回 |
上顎前歯の変色とかみ合わせを気にされていました。
オールセラミックで治して、かみ合わせと歯列を整えました。
Case9
上顎前歯部6本をオールセラミックで治しました。
| 年齢・性別 | 30代 女性 |
|---|---|
| 治療回数 | 2回 |
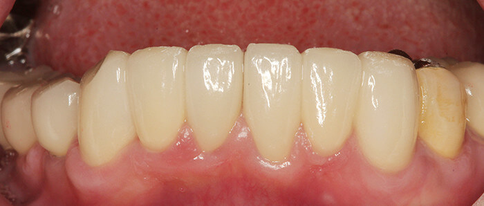
Case10
下顎6本をオールセラミックで治しました。
| 年齢・性別 | 50代 女性 |
|---|---|
| 治療回数 | 2回 |







