きれいな歯肉

歯だけでなく、歯肉を見ることが大切です

歯の色・形はキレイ!? 歯肉の色・形はキレイ!?

ご自身の歯肉を鏡でよ~く見てみて下さい。
歯だけではなく、歯肉がきれいなこと それが大きなポイントです。

歯はきれいだけど歯肉が赤い、腫れている・・・
それは、歯周病かもしれません。せっかくのきれいな歯が台無しです。歯の表面は磨けていてきれいでも、歯肉が腫れていることがあります。

腫れていない引き締まった歯肉は歯周病になる可能性が低く、健康で、色も形もきれいです。毎日歯磨きをしていても、虫歯のある人がほとんどで、さらに成人の8割は歯周病にかかっています。
磨いているのになぜなのでしょうか?

ご自身に合った磨き方を知らずに磨いているからかもしれません。「虫歯予防」と「歯周病予防」とでは、それぞれ磨き方が違うのです。

キレイな歯肉と腫れた歯肉を見てみましょう

歯肉をじっくりと見ることは、あまりないのかもしれません。
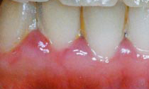
腫れた歯肉ときれい(健康)な歯肉・・・違いがわかりますか?

    • 腫れている歯肉
    • きれいで健康な歯肉
    • 腫れている歯肉
    • きれいで健康な歯肉
    • 腫れている歯肉
    • きれいで健康な歯肉
    • 腫れている歯肉
    • きれいで健康な歯肉
    • 腫れている歯肉
    • きれいで健康な歯肉
    • 腫れている歯肉
    • きれいで健康な歯肉
    • 腫れている歯肉
    • きれいで健康な歯肉
    • 腫れている歯肉
    • きれいで健康な歯肉
    • 腫れている歯肉
    • きれいで健康な歯肉
    • 腫れている歯肉
    • きれいで健康な歯肉
    • 腫れている歯肉
    • きれいで健康な歯肉
    • 腫れている歯肉
    • きれいで健康な歯肉

プロケアとセルフケア

歯石除去と適切なブラッシングで症状は改善されます

全体にプラークや歯石が付着し、歯周病が進行した状態でも、歯石除去と適切な歯磨きを繰り返し行うことで、症状は改善されていきます。

初診時

全体的に歯石が付いて、歯肉は炎症を起こして腫れていました。
歯石除去を行い、歯磨きの方法を指導しました。

1週間後

ご自身での歯磨きが適切に行われ、症状はだいぶ改善されました。赤く腫れていた歯肉は、炎症が引きシャープな形になってきました。

歯石除去直後

表面に付いていた歯石(縁上歯石)を落としました。腫れた歯肉は少しの刺激でも出血するほど炎症がありました。歯ブラシを当てると最初は出血がありますが、正しい方法での歯磨きを続けることで、腫れも出血も治まっていきます。

初診時 1週間後
初診時 矢印 1週間後
矢印 矢印
初診時 歯石除去直後

初診時

1週間後

歯石除去し、ブラッシングを徹底した場合

歯石除去 前

 

歯石除去 後

 

5日後

初診時

1週間後

初診時

10日後

適切な歯ブラシと歯磨きの方法を知って健康な歯を手に入れましょう

歯科医院で歯石を除去しただけでは、キレイな歯肉にはなれません。
適切な歯ブラシを使用して正しい方法で磨くことでキレイになっていきます。

キレイな歯肉になるために

プロの歯磨き指導・指示を受け方法を習得して“きれいな歯肉”になりましょう!

当院では、口の中の写真や歯磨きの動画を見ていただくなどして、できる限りわかりやすい方法で「正しい歯磨き」の指導を行っています。

  • まめ知識ブログ
  • まめ知識ブログ
  • 新橋インプラントオフィス松島歯科
  • 新橋インプラントオフィス松島歯科
  • 歯磨きMOVE.com 歯磨きで歯を守ろう
  • 歯磨きMOVE.com 歯磨きで歯を守ろう