ホワイトニングとは
薬液により本来の歯の色よりも白くすることができます
ホワイトニングには、大きく分けてホームホワイトニングとオフィスホワイトニングの2つの方法があります。
ホワイトニングは、加齢や遺伝による歯の黄ばみなどを、歯に直接薬液を浸透させることにより、歯を漂白していく方法です。歯を削ることなく、その人本来の歯の色よりも白くすることができます。歯を削らないため、男女年齢を問わず、気軽に試すことが出来ます。
ホームホワイトニングとは
患者さまご自身で手軽に行えるホワイトニングです
上下 各 ¥11,880(税込み)
“寝ている間に白い歯に!”ホワイトニングで『白い歯美人』
ホームホワイトニングは、ご自身が就寝時に行う方法です。 歯科医院で歯の型をとり、個人のホワイトニングトレー(カスタムトレー)を作製します。
トレーにホワイトニング剤を注入して歯に装着し、そのまま就寝します。歯を傷つけることなく、自然で美しい白い歯にしていきます。
個人差はありますが、ゆっくりと穏やかに歯を白くしていくため、ご自身で色の変化を確認しながら、楽しみながらホワイトニングができます。
効果
個人差はありますが、ホワイトニングを始めて2週間から4週間ほどで効果が出ます。最初は毎日続けていただいた方が早く効果が現れます。
ホワイトニングをしている歯の全てが同じように変化していくわけではなく、歯によって白くなる場所や速度に違いがあります。色ムラを感じる時もありますが、続けることで色は合ってきます。歯の質、変色度合いや変色の原因によっても差があります。
注意!
歯冠修復物(かぶせてある歯)や神経を取っている歯は、ホワイトニングの対象にはなりません。神経のある歯に限ります。
ホームホワイトニングの手順
1歯の型をとります。
2石膏を流し固めます。
3カスタムトレーを製作します。
4就寝前、カスタムトレーにホワイトニング剤を注入します。
5カスタムトレーを装着し就寝します。
オフィスホワイトニングとは
歯科医院に任せて手間なく行えるホワイトニングです
上下 各¥35,000(税込み)
Beyond ホワイトニングシステム
オフィスホワイトニングは、歯科医院で行なう方法です。歯の表面にホワイトニング剤を塗り、特殊な光を当てて色素を分解して歯を白くする方法。
また、レーザーの熱を利用して、歯の表面に塗ったホワイトニング剤を活性化させて白くする方法などがあります。
ホワイトニングにかかる時間は1回に1時間から1時間半くらいで、1週間ほど日にちをあけて2回目をおこないます。
★ホームホワイトニングを併用しておこなうと、さらに効果的です。
ホワイトニングの効果
歯が白く美しくなることで、予防の意識も高まります
効果は2倍!3倍!!
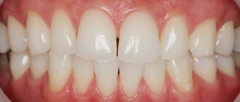
治療例
見違えるような歯の白さをご覧ください。
Case1
30代女性
Before
After
Case2
50代男性
Before
After
Case3
30代女性
Before
After
Case4
30代男性
金属冠の治療をきっかけにホワイトニングをスタート。歯肉のメラニン(色素沈着)はレーザーでキレイに処置しました。
Before
After
Case5
40代女性
歯周病の治療を行い、ホワイトニングを始めました。
Before
After
Case6
50代男性
古くなり変色した前歯のかぶせ物をオールセラミックに替えて、黄ばんでいたご自身の歯をホワイトニングしました。ホワイトニングをする予定でご自身の歯より白いセラミックをセットして、それに合わせてホワイトニングを進めました。
Before
After








