治療例3
全体的にセラミックを施すことで、口元の印象はがらりと変わります
全体的な治療で劇的に変わる
Case1
メラニン除去、歯肉移植を行い、上前歯の古いかぶせ物と全体に目立っていた金属をオールセラミックで治しました。3ヵ月程度で治療が完了しました。健康的な口元に生まれ変わりました。
| 年齢・性別 | 20代 男性 |
|---|
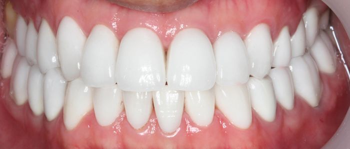
Case2
| 年齢・性別 | 30代 女性 |
|---|
Case3
反対咬合のため下顎、下唇が強調されていましたが、オールセラミックによりご希望の白い歯と理想的な歯列になりました。正常なかみ合わせになり、口元が変わりました。
| 年齢・性別 | 40代 男性 |
|---|
Case4
文章が入ります
| 年齢・性別 | 40代 男性 |
|---|







